More Information

Submitted: April 23, 2025 | Approved: April 30, 2025 | Published: May 01, 2025

How to cite this article: Kulkarni VV, Srikanth R, Rani S, Rani MR. Squamous Cell Carcinoma of the External Auditory Canal in Previously Treated Case of Adenoid Cystic Carcinoma of Parotid Gland. J Radiol Oncol. 2025; 9(2): 054-055. Available from:
https://dx.doi.org/10.29328/journal.jro.1001081

DOI: 10.29328/journal.jro.1001081

Copyright license: © 2025 Kulkarni VV, et al. This is an open access article distributed under the Creative Commons Attribution License, which permits unrestricted use, distribution, and reproduction in any medium, provided the original work is properly cited.

 FullText PDF

Squamous Cell Carcinoma of the External Auditory Canal in Previously Treated Case of Adenoid Cystic Carcinoma of Parotid Gland

Vaishnavi Vasant Kulkarni1*, R Srikanth2, Sandhya Rani3 and M Radhika Rani3

1Junior Resident, Department of Radiation Oncology, MNJIO & RCC, Hyderabad, Telangana, India
2Unit Chief & Professor, Department of Radiation Oncology, MNJIO & RCC, Hyderabad, Telangana, India
3Associate Professor, Department of Radiation Oncology, MNJIO & RCC, Hyderabad, Telangana, India

*Address for Correspondence: Dr. Vaishnavi Vasant Kulkarni, Junior Resident, Department of Radiation Oncology, MNJIO & RCC, Hyderabad, Telangana, India, Email: [email protected]

Malignant neoplasms of the external auditory canal, middle and inner ear are rare. This anatomically complex region generates complicated three-dimensional specimens that can be a challenge for macroscopic and microscopic assessment [1]. The most common cause of malignancy involving the EAC and temporal bone is extension of cutaneous malignancy of pinna. Rare occurrences have been described in association with CSOM and sporadic cases arising in previously irradiated fields for the treatment of other head and neck cancers. The tissue diagnosis is relatively straightforward; however staging is a complex task that is best approached with consideration of clinical, radiological, and pathological findings [2].

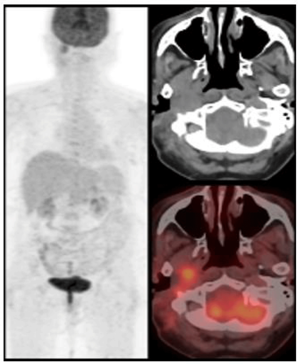
We report a case of 68 years old female with a past history of adenoid cystic carcinoma of right parotid gland post superficial parotidectomy and adjuvant radiotherapy in 2004. Now with complaints of right ear discharge and ear ache since 6 months, on further detailed and systematic evaluation, revealed a mass lesion in the EAC with extension into the infratemporal fossa (Figure 1) which was confirmed to be a well-differentiated Squamous Cell Carcinoma (SCC) on biopsy. After obtaining proper consent and ethical clearance, the patient underwent surgical de-bulking followed by adjuvant EBRT to post-operative residual disease and elective irradiation of ipsilateral nodal levels II and III using the VMAT technique (Figure 2) to a total dose of 66 Gy delivered in 33 fractions, 2 Gy per fraction. The patient tolerated radiotherapy well and was placed under regular follow-up. 12 weeks post EBRT patient was assessed clinically and radiologically with 18F-FDG whole-body PET-CT scan which showed complete morphological and metabolic response (Figure 3). The patient is under surveillance and is doing well.


Download Image

Figure 1: Pre EBRT PET CT Scan findings revealing 2.1x1.4x3.2 cm lesion in the right EAC extending to the Infratemporal Fossa (ITF).


Download Image

Figure 2: EBRT treatment plan using VMAT technique.


Download Image

Figure 3: Post-EBRT evaluation scan (12 weeks) showing complete morphological and metabolic response.

Squamous Cell Carcinoma (SCC) of the External Auditory Canal (EAC) is rare. These tumors are often misdiagnosed in the early stages as benign conditions owing to the similarity of symptoms and due to the complex anatomical location and their invasive nature, advanced disease typically carries a poor prognosis [3]. Current treatment guidelines are largely based on limited literature; thus, the level of evidence is weak [4]. Similar observations were reported by Sarbani Ghosh Laskar, et al. [5], who concluded that Surgery followed by adjuvant therapy should remain the mainstay of treatment for EAC and TB SCC. IMRT should be the preferred modality for RT due to lower late morbidity. Routine elective nodal irradiation is not generally recommended. The chance of developing Squamous Cell Carcinoma (SCC) in the same region can be increased by prior radiation therapy to the head and neck, especially if the treatment was delayed for several years. It is a known consequence, particularly with greater radiation doses, although the overall risk remains relatively low [6].

This case report emphasizes the importance of maintaining a high index of suspicion and adopting a multidisciplinary approach which can lead to early diagnosis and potentially improve patient outcomes.

Ethical considerations

Informed consent was obtained from the patient for all diagnostic, therapeutic, and follow-up procedures, as well as for the publication of this case report and associated images. Ethical clearance for reporting this case was approved by the institutional ethics committee of MNJ Institute of Oncology & Regional Cancer Centre, Hyderabad, and Telangana. The patient’s identity has been anonymized in accordance with international ethical guidelines and the Declaration of Helsinki.

  1. Stell P, McCormick M. Carcinoma of the external auditory meatus and middle ear; prognostic factors and a suggested staging system. J Laryngol Otol. 1985;99(9):847-850. Available from: https://doi.org/10.1017/s0022215100097796
  2. Shu M, Lin H, Lee J, Chen B. Radiation-Induced Squamous Cell Carcinoma of the External Auditory Canal. Otol Neurotol. 2011;32(3):e24-e25. Available from: https://journals.lww.com/otology-neurotology/citation/2011/04000/radiation_induced_squamous_cell_carcinoma_of_the.32.aspx
  3. Breau RL, Gardner EK, Dornhoffer JL. Cancer of the external auditory canal and temporal bone. Curr Oncol Rep. 2002;4(1):76–80. Available from: https://doi.org/10.1007/s11912-002-0051-x
  4. Moody SA, Hirsch BE, Myers EN. Squamous cell carcinoma of the external auditory canal: an evaluation of a staging system. Am J Otol. 2000;21(4):582–588. Available from: https://pubmed.ncbi.nlm.nih.gov/10912706/
  5. Laskar SG, Sinha S, Pai P, Nair D, Budrukkar A, Swain M, et al. Definitive and adjuvant radiation therapy for external auditory canal and temporal bone squamous cell carcinomas: Long term outcomes. Radiother Oncol. 2022;170:151–158. Available from: https://doi.org/10.1016/j.radonc.2022.02.021
  6. Rocha PHP, Reali RM, Decnop M, Souza SA, Teixeira LAB, et al. Adverse Radiation Therapy Effects in the Treatment of Head and Neck Tumors. RadioGraphics. 2022;42(3):806–821. Available from: https://doi.org/10.1148/rg.210150